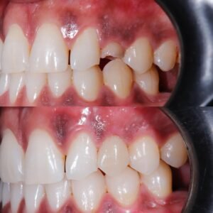
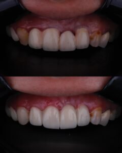
في VAL DENTAL CLINIC نعرف جيدًا أن الأسنان المفقودة أو التالفة قد تؤثر على مظهرك وصحة فمك ووظيفة المضغ. لذلك نقدم لك حلول تركيبات الأسنان الثابتة والمتحركة المصممة خصيصًا لاستعادة ابتسامتك وتحسين جودة حياتك. بفضل خبرتنا وتقنياتنا الحديثة، نضمن لك نتائج تجمع بين القوة والجمال في آن واحد.
ما هي تركيبات الأسنان؟
تركيبات الأسنان هي بدائل صناعية تُستخدم لتعويض الأسنان المفقودة أو إصلاح التالفة، وتشمل التيجان والجسور والأطقم الكاملة أو الجزئية. يمكن أن تكون ثابتة يتم تثبيتها على الأسنان أو الجذور المزروعة، أو متحركة يمكن للمريض إزالتها وتنظيفها بسهولة. تساعد هذه التركيبات على تحسين المظهر، واستعادة القدرة على المضغ والنطق، وحماية الأسنان واللثة من المشكلات المستقبلية.
مميزات تركيبات الأسنان
تركيبات الأسنان تمنحك مظهرًا طبيعيًا وتحسن وظائف فمك بشكل ملحوظ، مع مزايا تدوم طويلًا.
ومن أهم تلك المميزات:
- استعادة الشكل الجمالي للأسنان والابتسامة.
- تحسين القدرة على المضغ والتحدث.
- حماية الأسنان المتبقية من التلف أو الحركة.
- تصميم مخصص يتماشى مع شكل الفم ولون الأسنان.
- مواد عالية الجودة مقاومة للتآكل والتصبغ.
- متانة وثبات لفترات طويلة.
- تحسين دعم الشفاه والخدين والحفاظ على شكل الوجه.
- حلول متعددة تناسب كل حالة وميزانية.
في VAL DENTAL CLINIC نعمل على تصميم تركيبات أسنان مريحة ودقيقة لتمنحك أفضل مظهر وأداء ممكن.
لماذا تختار عيادة VAL DENTAL لتركيبات الأسنان؟
في VAL DENTAL CLINIC لا نقدم لك مجرد تركيبات أسنان، بل نصمم ابتسامة جديدة تعكس شخصيتك وتدوم لسنوات. هنا يجتمع الفن مع العلم لنمنحك أفضل مظهر ووظيفة بأسلوب مريح وآمن. ومن مميزاتنا:
- فريق طبي متخصص في تصميم وتركيب التيجان والجسور والأطقم.
- استخدام أحدث تقنيات القياس الرقمي لضمان دقة عالية.
- خامات طبية عالية الجودة ومعتمدة عالميًا.
- بيئة علاجية آمنة ومعقمة بالكامل.
- خطط علاجية تناسب احتياجاتك الفردية.
- متابعة دورية بعد التركيب لضمان الحفاظ على النتائج.
- خيارات متعددة من التركيبات الثابتة والمتحركة.
- التزام بالراحة والجودة من بداية الاستشارة وحتى اكتمال العلاج.
استعد جمال ابتسامتك ووظيفة أسنانك مع حلول تركيبات الأسنان المتطورة في VAL DENTAL CLINIC. احجز موعدك الآن واستمتع بأسنان قوية ومظهر طبيعي يدوم لسنوات.


